BOB.1 Monoclonal Antibody
€0.00
In stock
SKU
PA6111
Catalog Number: PA6111
Isotype: Mouse, Clone: YN00116m
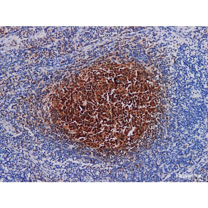
Reactivity: human
Applications: IHC-P
Datasheet, Questions? Contact us!
Isotype: Mouse, Clone: YN00116m
Reactivity: human
Applications: IHC-P
Datasheet, Questions? Contact us!
Background:
Bob. 1 is expressed in the nucleus of B lymphocyte and plasmocyte. Generally, it’s usually used to combine with Oct-2, the R-S cells of classical Hodgkin's lymphoma will not be positive of those two antigens at the same time, while the L & H cells of nodular lymphoid lymphoma will express bob.1 and Oct-2 at the same time.
Location: NucleusQ16633TBS with 0.1% Proclin300, PH7.4
Concentration: 100 μg/mL for the RTU antibody, 1mg/mL for the concentrated antibody
Bob. 1 is expressed in the nucleus of B lymphocyte and plasmocyte. Generally, it’s usually used to combine with Oct-2, the R-S cells of classical Hodgkin's lymphoma will not be positive of those two antigens at the same time, while the L & H cells of nodular lymphoid lymphoma will express bob.1 and Oct-2 at the same time.
Location: NucleusQ16633TBS with 0.1% Proclin300, PH7.4
Concentration: 100 μg/mL for the RTU antibody, 1mg/mL for the concentrated antibody
| Is Featured? | No |
|---|
Write Your Own Review