Calponin Monoclonal Antibody
€0.00
In stock
SKU
PA6007
Catalog Number: PA6007
Isotype: Mouse, Clone: YN00156m
Reactivity: human
Applications: IHC-P
Datasheet, Questions? Contact us!
Isotype: Mouse, Clone: YN00156m
Reactivity: human
Applications: IHC-P
Datasheet, Questions? Contact us!
Background:
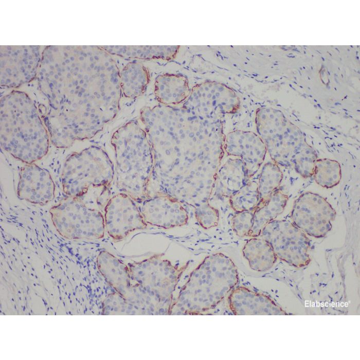
Anti-Calponin antibody can label myoepithelial cells and basement membrane, which can distinguish micro invasive breast cancer and ductal carcinoma in situ. It is also a useful marker of papillary breast disease.
Location: CytoplasmP51911TBS with 0.1% Proclin300, PH7.4
Concentration: 100 μg/mL for the RTU antibody, 1mg/mL for the concentrated antibody
Anti-Calponin antibody can label myoepithelial cells and basement membrane, which can distinguish micro invasive breast cancer and ductal carcinoma in situ. It is also a useful marker of papillary breast disease.
Location: CytoplasmP51911TBS with 0.1% Proclin300, PH7.4
Concentration: 100 μg/mL for the RTU antibody, 1mg/mL for the concentrated antibody
| Is Featured? | No |
|---|
Write Your Own Review