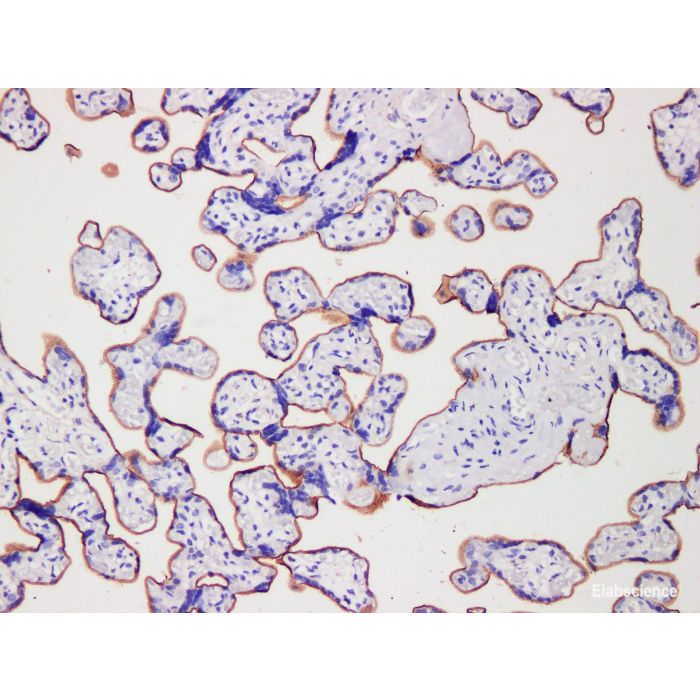
CD105 Monoclonal Antibody
€0.00
In stock
SKU
PA6611
Catalog Number: PA6611
Isotype: Mouse, Clone: YN00456m
Reactivity: human
Applications: IHC-P
Datasheet, Questions? Contact us!
Isotype: Mouse, Clone: YN00456m
Reactivity: human
Applications: IHC-P
Datasheet, Questions? Contact us!
Background:
CD105 is a kind of cell membrane protein in TGF-P receptor signal transduction, and it is also a proliferation related antigen of vascular endothelial cells. It is mainly used in the study of angiogenesis in various malignant tumor tissues.
Location: Cell membraneP17813TBS with 0.1% Proclin300, PH7.4
Concentration: 100 μg/mL for the RTU antibody, 1mg/mL for the concentrated antibody
CD105 is a kind of cell membrane protein in TGF-P receptor signal transduction, and it is also a proliferation related antigen of vascular endothelial cells. It is mainly used in the study of angiogenesis in various malignant tumor tissues.
Location: Cell membraneP17813TBS with 0.1% Proclin300, PH7.4
Concentration: 100 μg/mL for the RTU antibody, 1mg/mL for the concentrated antibody
| Is Featured? | No |
|---|
Write Your Own Review