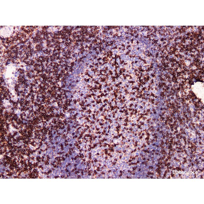
CD2 Monoclonal Antibody
€0.00
In stock
SKU
PA6694
Catalog Number: PA6694
Isotype: Mouse, Clone: YN00196m
Reactivity: human
Applications: IHC-P
Datasheet, Questions? Contact us!
Isotype: Mouse, Clone: YN00196m
Reactivity: human
Applications: IHC-P
Datasheet, Questions? Contact us!
Background:
CD2 is mainly expressed on the surface of mature T cells and NK cells, while B cells usually do not express CD2. It can be used for the identity and research of normal T cells and related tumors. CD2 antibody plays an important role in the differentiation of precursor and mature T cell lymphoma.
Location: Cell membraneP06729TBS with 0.1% Proclin300, PH7.4
Concentration: 100 μg/mL for the RTU antibody, 1mg/mL for the concentrated antibody
CD2 is mainly expressed on the surface of mature T cells and NK cells, while B cells usually do not express CD2. It can be used for the identity and research of normal T cells and related tumors. CD2 antibody plays an important role in the differentiation of precursor and mature T cell lymphoma.
Location: Cell membraneP06729TBS with 0.1% Proclin300, PH7.4
Concentration: 100 μg/mL for the RTU antibody, 1mg/mL for the concentrated antibody
| Is Featured? | No |
|---|
Write Your Own Review