CD3 ζ polyclonal, anti-human, mouse, rat
€305.00
In stock
SKU
BS60932
Background:
The T cell antigen receptor (TCR) recognizes foreign antigens and translates such recognition events into intracellular signals that elicit a change in the cell from a dormant to an activated state. Much of this signaling process can be attributed to a multisubunit complex of proteins that associates directly with the TCR. This complex has been designated CD3 (cluster of differentiation 3). It is composed of five invariant polypeptide chains that associate to form three dimers: a heterodimer of gamma and epsilon chains (γε), a heterodimer of delta and epsilon chains (∂ε) and a homodimer of two zeta chains (ζζ) or a heterodimer of zeta and eta chains (ζη). The ζ and η chains are encoded by the same gene but differ in their carboxyl-terminal ends due to an alternative splicing event. The γ, ε and δ chains each contain a single copy of a conserved immunoreceptor tyrosine-based activation motif (ITAM). In contrast, the ζ chain contains three consecutive copies of the same motif. Phosphorylated ITAMs act as docking sites for protein kinases such as ZAP-70 and Syk and are also capable of regulating their kinase activity. The crystal structure of the ZAP-70 SH2 domains bound to the ζ chain ITAMs has been solved.
Alternative Name:
T-cell surface glycoprotein CD3 zeta chain, T-cell receptor T3 zeta chain, CD247, CD247, CD3Z, T3Z, TCRZ
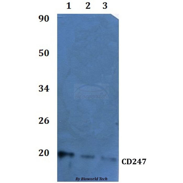
Application Dilution: WB: 1:500~1:1000
Specificity: CD247 polyclonal antibody detects endogenous levels of CD247 protein.
Immunogen:
A synthetic peptide corresponding to residues in Human CD247.
MW: ~ 20 kDa
Swis Prot.: P20963
Purification & Purity:
The antibody was affinity-purified from rabbit antiserum by affinity-chromatography using epitope-specific immunogen and the purity is > 95% (by SDS-PAGE).
Format:
1 mg/ml in Phosphate buffered saline (PBS) with 0.05% sodium azide, approx. pH 7.3.
Storage:
Store at 4°C short term. Aliquot and store at -20°C long term. Avoid freeze-thaw cycles.
For research use only, not for use in diagnostic procedure.
The T cell antigen receptor (TCR) recognizes foreign antigens and translates such recognition events into intracellular signals that elicit a change in the cell from a dormant to an activated state. Much of this signaling process can be attributed to a multisubunit complex of proteins that associates directly with the TCR. This complex has been designated CD3 (cluster of differentiation 3). It is composed of five invariant polypeptide chains that associate to form three dimers: a heterodimer of gamma and epsilon chains (γε), a heterodimer of delta and epsilon chains (∂ε) and a homodimer of two zeta chains (ζζ) or a heterodimer of zeta and eta chains (ζη). The ζ and η chains are encoded by the same gene but differ in their carboxyl-terminal ends due to an alternative splicing event. The γ, ε and δ chains each contain a single copy of a conserved immunoreceptor tyrosine-based activation motif (ITAM). In contrast, the ζ chain contains three consecutive copies of the same motif. Phosphorylated ITAMs act as docking sites for protein kinases such as ZAP-70 and Syk and are also capable of regulating their kinase activity. The crystal structure of the ZAP-70 SH2 domains bound to the ζ chain ITAMs has been solved.
Alternative Name:
T-cell surface glycoprotein CD3 zeta chain, T-cell receptor T3 zeta chain, CD247, CD247, CD3Z, T3Z, TCRZ
Application Dilution: WB: 1:500~1:1000
Specificity: CD247 polyclonal antibody detects endogenous levels of CD247 protein.
Immunogen:
A synthetic peptide corresponding to residues in Human CD247.
MW: ~ 20 kDa
Swis Prot.: P20963
Purification & Purity:
The antibody was affinity-purified from rabbit antiserum by affinity-chromatography using epitope-specific immunogen and the purity is > 95% (by SDS-PAGE).
Format:
1 mg/ml in Phosphate buffered saline (PBS) with 0.05% sodium azide, approx. pH 7.3.
Storage:
Store at 4°C short term. Aliquot and store at -20°C long term. Avoid freeze-thaw cycles.
For research use only, not for use in diagnostic procedure.
| Is Featured? | No |
|---|
Write Your Own Review