CRISPR-Cas9 (clone ), anti-recombinant Cas9
€428.00
In stock
SKU
MB9030
Background:
CRISPR (clustered regularly interspaced short palindromic repeat) is an adaptive immune system that provides protection against mobile genetic elements (viruses, transposable elements and conjugative plasmids). CRISPR clusters contain spacers, sequences complementary to antecedent mobile elements, and target invading nucleic acids. CRISPR clusters are transcribed and processed into CRISPR RNA (crRNA) (Probable). In type II CRISPR systems correct processing of pre-crRNA requires a trans-encoded small RNA (tracrRNA), endogenous ribonuclease 3 (rnc) and this protein. The tracrRNA serves as a guide for ribonuclease 3-aided processing of pre-crRNA. Subsequently Cas9/crRNA/tracrRNA endonucleolytically cleaves linear or circular dsDNA target complementary to the spacer. The target strand not complementary to crRNA is first cut endonucleolytically, then trimmed by 3'-5' exonucleolytically. DNA-binding requires protein and both RNA species. Cas9 probably recognizes a short motif in the CRISPR repeat sequences (the PAM or protospacer adjacent motif) to help distinguish self versus nonself.
Alternative Name:
Cas9, CRISPR-associated endonuclease Cas9/Csn1, CRISPR-Cas9/Csn1, csn1, SpyCas9
Application Dilution: WB: 1:1000-5000, ICC: 1:50-200
Specificity: This antibody detects recombinant Cas9 protein.
Immunogen:
This antibody is produced by immunizing mice with a recombinant protein corresponding to a sequence of CRISPR/Cas9.
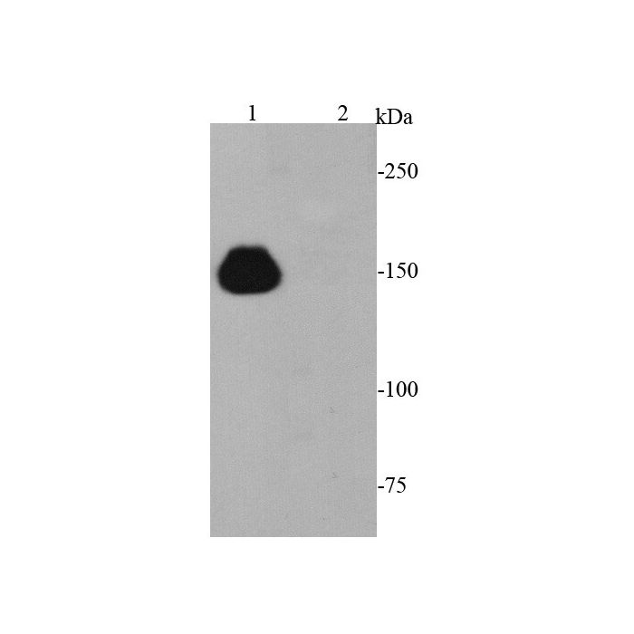
MW: ~ 158 kDa
Swis Prot.: Q99ZW2
Purification & Purity:
Protein A affinity purified
Format:
Mouse IgM. 1*TBS (pH7.4), 1%BSA, 40%Glycerol. Preservative: 0.05% Sodium Azide.
Storage:
Store at 4°C short term. Aliquot and store at -20°C long term. Avoid freeze-thaw cycles.
For research use only, not for use in diagnostic procedure.
CRISPR (clustered regularly interspaced short palindromic repeat) is an adaptive immune system that provides protection against mobile genetic elements (viruses, transposable elements and conjugative plasmids). CRISPR clusters contain spacers, sequences complementary to antecedent mobile elements, and target invading nucleic acids. CRISPR clusters are transcribed and processed into CRISPR RNA (crRNA) (Probable). In type II CRISPR systems correct processing of pre-crRNA requires a trans-encoded small RNA (tracrRNA), endogenous ribonuclease 3 (rnc) and this protein. The tracrRNA serves as a guide for ribonuclease 3-aided processing of pre-crRNA. Subsequently Cas9/crRNA/tracrRNA endonucleolytically cleaves linear or circular dsDNA target complementary to the spacer. The target strand not complementary to crRNA is first cut endonucleolytically, then trimmed by 3'-5' exonucleolytically. DNA-binding requires protein and both RNA species. Cas9 probably recognizes a short motif in the CRISPR repeat sequences (the PAM or protospacer adjacent motif) to help distinguish self versus nonself.
Alternative Name:
Cas9, CRISPR-associated endonuclease Cas9/Csn1, CRISPR-Cas9/Csn1, csn1, SpyCas9
Application Dilution: WB: 1:1000-5000, ICC: 1:50-200
Specificity: This antibody detects recombinant Cas9 protein.
Immunogen:
This antibody is produced by immunizing mice with a recombinant protein corresponding to a sequence of CRISPR/Cas9.
MW: ~ 158 kDa
Swis Prot.: Q99ZW2
Purification & Purity:
Protein A affinity purified
Format:
Mouse IgM. 1*TBS (pH7.4), 1%BSA, 40%Glycerol. Preservative: 0.05% Sodium Azide.
Storage:
Store at 4°C short term. Aliquot and store at -20°C long term. Avoid freeze-thaw cycles.
For research use only, not for use in diagnostic procedure.
| Is Featured? | No |
|---|
Write Your Own Review